EN
 
首页 > 新闻中心 > 公司新闻 > 小个头.大智慧|强势推荐HE-800全自动单独滴染HE染色盖片工作站

小个头.大智慧|强势推荐HE-800全自动单独滴染HE染色盖片工作站

图片


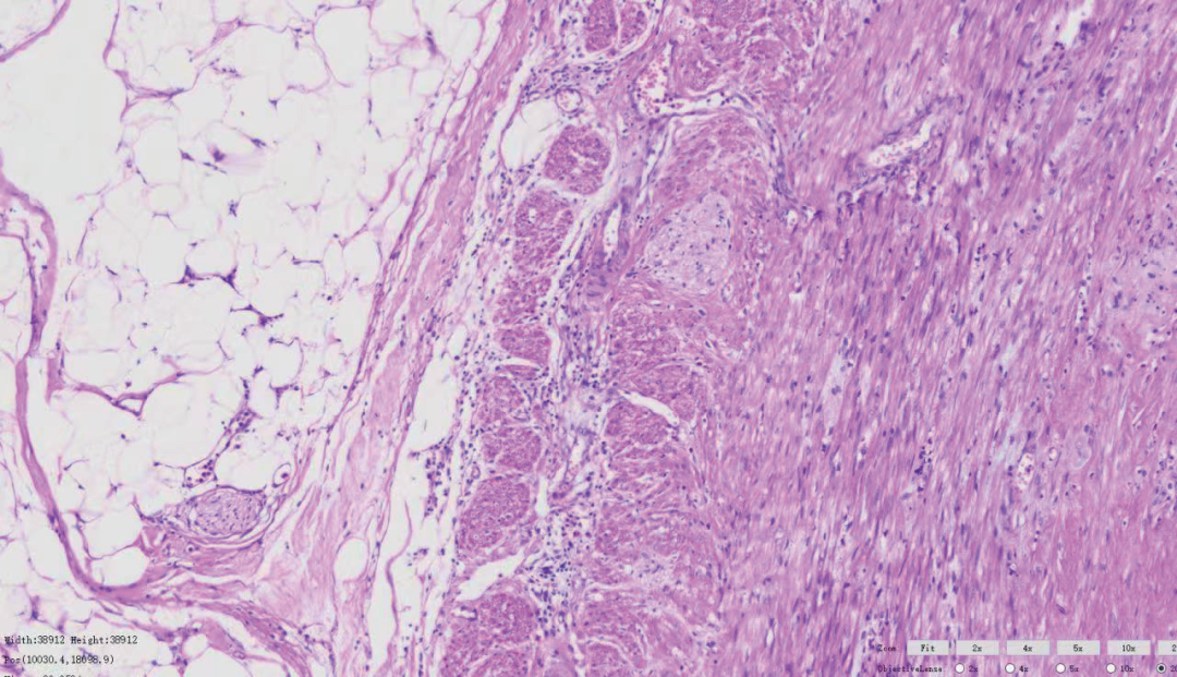
     全自动单独滴染HE染色盖片工作站是一款将烤片、脱蜡、染色、透明、盖片集成于同一台设备的全自动流水线,采用滴染方式染色,避免标本间的交叉污染,同时保证每张玻片所用染液均为新鲜试剂,确保染色效果恒定均一。


从烤片至盖片全过程自动化


  

滴染方式染色

     可确保每张切片滴加新鲜试剂,避免交叉污染,保证第一张载玻片和最后一张载玻片相同的质量。高质量的染色样片,提高读片质量,既利于显微镜观察,也利于数字扫描。




关键

词①

全过程

自动化


将烤片、脱蜡、染色、透明、盖片

集于一体

从烤片至盖片全过程自动化

无需人员介入




关键

词②

试剂安全

无污染


每种试剂单独包装

独立管路输出

保证使用试剂的安全性、独立性






关键

词③

染色质量恒定


每张切片滴加新鲜试剂

避免交叉污染

确保第一张载玻片和最后一张载玻片相同的质量






关键

词④

模块化

设计



三种模式自由选择

滴染染色+盖片模式

单独滴染染色模式

单独盖片模式







关键

词⑤

智能检测

配置专属电脑

实时监控设备状态

质量控制功能

实时记录每天工作量





重量:55kG

标本处理通量:40片/2架

适用盖玻片规格:24×40-60mm

外形尺寸:880mm*450mm*560mm

体积小,适用于各类场地环境



图片


上一篇:最新快讯|察微入选宁波市专精特新“小巨人”重点培育企业。 下一篇:喜讯 |察微病理获评2023年度宁波市“专精特新”中小企业 返回

联系我们

  • 宁波察微生物科技有限公司
  • 浙江省宁波前湾新区玉海东路68号A区18栋3楼(数字经济产业园内)
  • 0574-63103001
  • 山东察微生物科技有限公司
  • 山东省济南市历下区华能路19号留学人员创业园2-319室
  • 0531-82370636
扫描二维码 获取更多关于察微资讯
© 2020-2024宁波察微生物科技有限公司版权所有
咨询反馈
公众号
在线留言
返回顶部